Vědci z výzkumného centra BIOCEV ve Vestci u Prahy se pokusili odpovědět na otázku, jaký je vztah mezi neplodností a cukrovkou. A jak tato nemoc ovlivňuje reprodukci i v následujících generacích.
Obě onemocnění patří mezi tzv. civilizační choroby. Z globálního pohledu trpí diabetem 370 milionů lidí a jejich počet narůstá. V tisku se mluví o epidemii třetího tisíciletí. Problémy s otěhotněním má přes 15 % evropských párů v reprodukčním věku. Mužský faktor se na neplodnosti podílí ve více než 60 %. Neplodnost u mužů je způsobena celou řadou faktorů - genetické a životní prostředí, cévní onemocnění, ale také metabolické choroby. Mezi ně patří i cukrovka neboli diabetes mellitus.
„Z dlouhodobých studií víme, že faktory životního prostředí mohou mít negativní vliv na reprodukční parametry u myších samců. Zajímalo nás, zda může mít podobný efekt i prostředí cukrovky," říká Jana Pěknicová z Laboratoře reprodukční biologie v Biotechnologickém ústavu AV ČR - BIOCEV. „Ve spolupráci s Gabrielou Pavlínkovou (Laboratoř molekulární patogenetiky), která se dlouhodobě zabývá výzkumem vlivu cukrovky na embryo, jsme začali testovat vliv diabetu na reprodukci na myším modelu," dodává Jana Pěknicová.
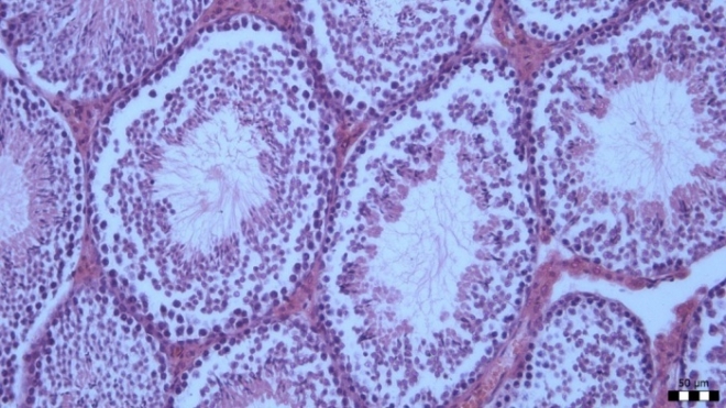
Kolektiv autorů z obou laboratoří zjistil, že diabetické prostředí mělo negativní vliv na řadu reprodukčních parametrů u myší. Především na histologický obraz varlat se změnou struktury kanálků i tvorby spermií (viz též obrázky B a D), a na koncentraci a kvalitu spermií. Tyto změny byly též způsobeny změnou exprese vybraných genů, které za tvorbu kvalitních spermií odpovídají.
Vědce však nejvíce překvapilo, že diabetes u samců vykazuje specifické změny, které probíhaly v samčích reprodukčních orgánech a spermiích i v následujících generacích. Tento mezigenerační přenos ukazuje na epigenetické změny v reprodukčních orgánech a spermiích. „Naše výsledky tedy upozorňují na to, že zlepšovat metabolické zdraví v reprodukčním věku je třeba nejen u žen, ale i u potenciálních otců, aby se snížila náchylnost k cukrovce a neplodnosti i v následujících generacích. V dalším stadiu našeho výzkumu se již zaměříme na mužské spermie pacientů s cukrovkou, respektive jejich kvalitu pro úspěšnou reprodukci," doplňuje Jana Pěknicová.
Legenda k obrázkům (Histologické řezy varlat z myších modelů)  
Morfologie A, B. Imunohistochemie C, D: zeleně: „vascular endothelial growth factor“ (VEGFA) ve spermatogoniích; červeně: konexin (Cx43) „gap junctions“, navýšení je spojené  s poškozením kanálků. Kontrola (A, C); Diabetes u samců (B, D) – porucha struktury kanálků a tvorby spermií.  
Kontakt: Mgr. Petr Solil, vedoucí komunikace, petr.solil@biocev.eu, tel.: 774 727 981




